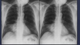
Open pneumothorax Mediube Subscribe Subscribed 3 1173 videos 0% 41 Views 0 Likes 2024-04-14 Chest By Mediube 0 Comments (بازدید 41 بار, بازدیدهای امروز 1 ) Show more PREV How to Interpret a Chest X-Ray (Lesson 8 – Focal Lung Processes) Mediube 2024-04-14 NEXT Pneumonia (Right Middle Lobe): Explanation of Chest X-ray Findings Mediube 2024-04-15 You might be interested in 0 Consolidation Radiology | Lecturio Mediube 2024-04-08 0 How to Interpret a Chest X-Ray (Lesson 8 – Focal Lung Processes) Mediube 2024-04-14 0 How to identify normal lung anatomy on chest CT Mediube 2024-06-06 0 Chest x-ray , pneumonia Mediube 2024-04-07 0 Chest Pain History Taking – OSCE Guide Mediube 2024-02-28 0 How I Read a Chest CT Mediube 2024-06-06 0 What Happens During a CT Lung Scan Mediube 2024-06-06 0 Pneumonia (Right Middle Lobe): Explanation of Chest X-ray Findings Mediube 2024-04-15 LEAVE YOUR COMMENT Cancel replyYour email address will not be published. Required fields are marked * Save my name, email, and website in this browser for the next time I comment. Δ