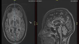
MRI Basics Mediube Subscribe Subscribed 3 1142 videos 0% 14 Views 0 Likes 2024-10-26 Radiology & ImagingRadiology and Diagnostic Studies By Mediube 0 Comments (بازدید 14 بار, بازدیدهای امروز 1 ) Show more PREV What s an MRI And why do I need one Mediube 2024-10-26 NEXT T1 MRI vs T2 MRI vs FLAIR MRI MRI Brain Radiology Mediube 2024-10-28 You might be interested in 0 Abdomen Pelvis CT Pyogenic Liver Abscess Mediube 2025-01-07 1 CT Head Interpretation for Beginners – OSCE Guide – UKMLA – CPSA Mediube 2024-05-27 0 An introduction to chest CT scanning – anatomy and approach Mediube 2024-01-31 0 Chest x-ray , pneumonia Mediube 2024-04-07 0 Systematic Interpretation of Shoulder MRI How I do it Mediube 2024-12-02 2 Tesla MRI The Highest Resolution Image of the Brain Mediube 2024-10-21 0 What s an MRI And why do I need one Mediube 2024-10-26 0 Imaging of Bones Fractures, Bony Anatomy and Bony Density–Radiology Mediube 2025-09-06 0 Anatomy of CT scans- Abdomen Mediube 2024-05-27 0 Maxillary sinus imaging and sinusitis Mediube 2024-08-24 0 How I Read a Chest CT Mediube 2024-06-06 0 MRI Basics-part2 Mediube 2025-01-25 LEAVE YOUR COMMENT Cancel replyYour email address will not be published. Required fields are marked * Save my name, email, and website in this browser for the next time I comment. Δ