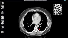
Top 10 WARNING signs of Lung Cancer Mediube Subscribe Subscribed 3 1173 videos 0% 16 Views 0 Likes 2024-09-30 Pulmonology By Mediube 0 Comments (بازدید 16 بار, بازدیدهای امروز 1 ) Show more PREV Symptoms of lung cancer Mediube 2024-09-30 NEXT CDC Tuberculosis (TB) Transmission and Pathogenesis Mediube 2024-10-02 You might be interested in 0 What Happens During a CT Lung Scan Mediube 2024-06-06 0 Lung Auscultation Landmarks, Sounds, Placement Nursing Assessi Mediube 2025-03-03 0 Tuberculosis TB Symptoms, Treatment, Causes Mediube 2025-10-08 0 Acute Bronchiolitis, Bronchiolitis Obliterans Organizing Pneumon Mediube 2025-01-11 0 Inside the OR_ COVID-19 Double-Lung Transplant Mediube 2024-09-25 0 Pneumothorax vs Lung Collapse Mediube 2024-04-15 0 Symptoms of lung cancer Mediube 2024-09-30 0 Pneumothorax for Nursing(collapsed lung) Animation, Treatment, Decompression, Pathophysiology Mediube 2024-04-16 0 Sputum Culture and Sensitivity – Sputum Sample – Labs Mediube 2024-05-25 0 Tuberculosis (TB) Symptoms, Treatment, Causes Mediube 2024-10-12 0 Understanding Pneumococcal Pneumonia Mediube 2024-08-03 0 Abnormal Lung Sounds, Types Conditions Mediube 2025-05-17 LEAVE YOUR COMMENT Cancel replyYour email address will not be published. Required fields are marked * Save my name, email, and website in this browser for the next time I comment. Δ
0 Pneumothorax for Nursing(collapsed lung) Animation, Treatment, Decompression, Pathophysiology Mediube 2024-04-16