Acute Pancreatitis – Causes, Signs Symptoms, Pathophysiology, Diagnosis

Clinical features

The majority of patients with acute pancreatitis have acute onset of severe upper abdominal pain. Patients may have associated nausea and vomiting. On physical examination, patients have abdominal tenderness to palpation. Patients with severe acute pancreatitis may have fever, tachypnea, tachycardia, hypoxemia, and hypotension. 

Laboratory findings

Early in the course of acute pancreatitis, pancreatic enzymes leak out of acinar cells to the interstitial space and then the systemic circulation. Patients with acute pancreatitis may therefore have acute elevations in serum amylase and lipase in addition to other pancreatic enzymes, breakdown products, and inflammatory mediators. Serum lipase has a slightly higher sensitivity for acute pancreatitis, and elevations occur earlier and last longer compared with elevations in amylase. Serum lipase is therefore especially useful in patients who present late to the clinician. Serum lipase is also more sensitive compared with amylase in patients with pancreatitis secondary to alcohol. 

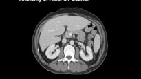
Abdominal CT scan findings

Approximately 85 percent of patients with acute pancreatitis have acute interstitial edematous pancreatitis. characterized by an enlargement of the pancreas on contrast-enhanced abdominal computed tomography (CT) scan. Approximately 15 percent of patients have necrotizing pancreatitis with necrosis of the pancreatic parenchyma, the peripancreatic tissue, or both.

Diagnosis

The diagnosis of acute pancreatitis is defined by the presence of two of the following: acute onset of persistent, severe, epigastric pain often radiating to the back, elevation in serum lipase or amylase to three times or greater than the upper limit of normal, or characteristic findings of acute pancreatitis on imaging (contrast-enhanced computed tomography, magnetic resonance imaging, or transabdominal ultrasonography). 

In patients with characteristic abdominal pain and elevation in serum lipase or amylase to three times or greater than the upper limit of normal, no imaging is required to establish the diagnosis of acute pancreatitis.

In patients with abdominal pain that is not characteristic for acute pancreatitis or a serum amylase and/or lipase activity that is less than three times the upper limit of normal, we perform a contrast-enhanced abdominal CT scan to establish the diagnosis of acute pancreatitis and to exclude other causes of acute abdominal pain.

Natural history and disease course

In most patients with acute pancreatitis, the disease is mild in severity and patients recover in three to five days without complications or organ failure. However, 20 percent of patients have moderately severe or severe acute pancreatitis with local or systemic complications or organ failure.

(بازدید 79 بار, بازدیدهای امروز 1 )

You might be interested in

LEAVE YOUR COMMENT

Your email address will not be published. Required fields are marked *