Radiology & Imaging37 Videos



What Happens During a CT Lung Scan
computed tomography of the chest Computed tomography (CT) is an imaging technique that has revolutionized medical imaging. It is widely available, fast, and provides a detailed view of the internal organs and structures. Helical CT is most common, but conventional, axial, step-and-shoot CT is used for thin section high-resolution CT scanning of the lungs, coronary […]
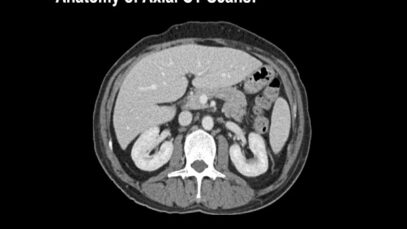
Normal Abdominal _ Pelvic CT Anatomy_ Algorithm – Radiology
Structure and Function The abdomen consists of the organs necessary for digestion. These include the stomach, pancreas, liver, gallbladder and small and large intestines. The abdomen also contains the kidneys and spleen. Connecting tissues called the mesentery, hold these organs together. The mesentery also allows these organs to move relative to one another and expand. […]
How to Read a CT Scan of the Head
What is a head CT? Computed tomography, more commonly known as a CT or CAT scan, is a diagnostic medical imaging test. Like traditional x-rays, it produces multiple images or pictures of the inside of the body. A CT scan generates images that can be reformatted in multiple planes. It can even generate three-dimensional images. […]
How I Read a Chest CT
What are some common uses of the procedure? Doctors use chest CT to: examine abnormalities found on chest x-rays. help diagnose the causes of signs or symptoms of chest disease, such as cough, shortness of breath, chest pain, or fever. detect and evaluate the extent of tumors that arise in the chest, or tumors that […]
How to identify normal lung anatomy on chest CT
What is CT Scanning of the Chest? Computed tomography, more commonly known as a CT or CAT scan, is a diagnostic medical imaging test. Like traditional x-rays, it produces multiple images or pictures of the inside of the body. A CT scan generates images that can be reformatted in multiple planes. It can even generate […]
CT Head Interpretation for Beginners – OSCE Guide – UKMLA – CPSA
Head CT Computed tomography (CT) of the head uses special x-ray equipment to help assess head injuries, severe headaches, dizziness, and other symptoms of aneurysm, bleeding, stroke, and brain tumors. It also helps your doctor to evaluate your face, sinuses, and skull or to plan radiation therapy for brain cancer. In emergency cases, it can […]

